Robaidek history of healthcare

  • Period: 4000 BCE to

    Early beginning

  • 3900 BCE

    Disease caused

    Evil spirits
  • Treatments
    3600 BCE

    Treatments

    Prayer, blood letting,exercicum and amputation
  • 3100 BCE

    Medicines used today

    Digitalis-for heart
    Quinine-digestion
    Belladonna and atropine -digestion
    Morphine
  • 2900 BCE

    Ancient Egyptians

    Kept accurate health records
    The priest acted as physicians
    Bloodletting
    Drain blood
  • Ancient Chinese
    1900 BCE

    Ancient Chinese

    Treat disease with stone tools
  • 900 BCE

    Ancient Greeks

    Greeks was natural not spiritual
    Religious custom did not allow bodies to be dissected
    Hippocrates based his knowledge of anatomy and physical
  • Period: 400 to 800

    Dark age

  • 500

    Stopped the study of medicine

    Church belivied the life and death were in gods hands. Monks and priests no interest in the body function
  • 700

    How do they treat disease

    Primary treatment was prayer
    Medications= herbal mixtures
    Care was custodial
  • Ancient Romans
    1000

    Ancient Romans

    Brought clean water into their cities by the waterways. Built public baths with filtering
    Sent medical equipment and physicians with armies to care for wounded soldiers. Kept a room in their house for the ill.
    Roman physician wore a death mask
  • 1100

    Middle age

    Caused millions of deaths
    Bubonic plague alone killed 60 million people
  • Period: 1350 to

    Renaissance

  • 1450

    Rebirth

    Universities and medical schools for research.search new ideas about diseases
    The acceptance of dissection of the body for study
    The development of the printing press and publishing for books allow greater access to knowledge from research
  • Period: 1501 to

    16th and 17th centuries

  • 1515

    Leonardo de Vinci

    studied and recorded the anatomy of the body. Vinci’s depiction of the human body
  • Gabriele fallopius
    1550

    Gabriele fallopius

    Discovered the fallopian tubes of the female anatomy.
  • 1563

    Bartolommeo eustachio

    Discovered the tube leading from the ear to the throat
  • William Harvey

    Able to describe the circulation of blood and the pumping of the heart.
  • Antoine von Leeuwenhoek

    Invented the microscope life is smaller then the eye can see. Found bacteria that causes tooth decay.
  • Apothecaries

    Engaged in a flourishing trade in drugs and species from the east.
  • Period: to

    18th century

  • Benjamin Franklin

    Benjamin Franklin

    Discovered bifocals , he found that colds could be passed from person to person
  • Medical students learning

    They observed patients on their bedside. When the patient dies they dissect the body.
  • Joseph Priestley

    Discovered the element of oxygon
    He observed the plant refresh of air
    Making it usable for respiration
  • Edward Jenner

    Discovered a method of vaccination for smallpox. His discovery also led to immunization.
  • Rene laennec

    Invented the stethoscope was made of wood.
    Increased the ability to hear the heart and the lungs.
  • Period: to

    19th and 20th centuries

  • Ignaz Semmelweis

    Identified the cause of childbed fever.
    Noted that patients of midwives had fewer deaths
    He made handwashing and cleanliness become a practice.
  • Florence nightingale

    Florence nightingale

    She was dedicated to nursing event though no one wanted her to. She gained effective training for nurses. Public establishment a nightingale fund to pay for the training, protection, and living cost of nurses.
  • Louis Pasteur

    Father of microbiology discovered that tiny microorganisms were everywhere and that they can cause disease. Discovered that heating milk prevented the growth of bacteria. Created vaccine for rabies.
  • Dimitri ivanovski

    Discovered that some disease are caused by microorganisms that cannot be seen with a microscope
  • Joseph lister

    He became the first doctor to use antiseptic during surgery that helped prevent infection.
  • Ernst von bergmann

    Developed asepisis. He developed a method to keep an area germ free before and during surgery
  • Robert ehrlich

    Discovered many disease causing organisms. He ideintify pathogens. Isolated the bacterium that causes tuberculosis
  • Paul ehrlich

    Discovered the effect of medicine on disease causing microorganisms.
  • Wilhelm roentgen

    Wilhelm roentgen

    Discovered X-rays
    Took first picture using X-ray of his wife’s hand.
  • Anesthesia

    There is no anesthesia on patents and used others things like herbs
  • Sir Alexander Fleming

    Found that penicillin killed life threatning bacteria.
    Discover most important discoveries of the twentieth century
  • Sigmund freud

    Discovered the conscious and unconscious parts of mind.
    Studies based on physiology
  • Gerhard domagk

    Discovered sulfonamide compounds.
    In killing bacteria
  • Jonas Salk

    Discovered that a dead olio virus would cause immunity to poliomyelitis
  • Albert Sabin

    Albert Sabin

    Used a live polio virus vaccine , which is more effective.
  • Francis crick and James Watson

    Discovered the molecular structure of Dna.
  • Christian Barnard

    Performed the first successful heart transplant
  • Ben Carson

    Ben Carson

    Seperating siameses twins.
    Surgeirs on the brain to stop
  • Period: to

    21st century

  • Self care

    Personals emotional ,social, mental, and spiritual rather than just focusing on the physical body. Patients achieve this kind of holistic health.
  • Telehealth

    Telehealth

    Telehealth has been a great advancement to the patients and provided offices where they can just message if there is a problem
  • Electural health records

    They keep records more in a digital form rather than just on paper
  • Artificial organs

    These are being made in labs and are make 7 organs rather than hustling and waitin g on someone to give there organs
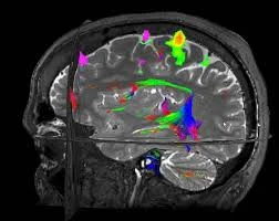
  • Functional MRI

    Functional MRI

    They are now having machines built so they can physically read peoples minds.
  • Period: to 399

    Ancient times