Celula

La célula a través del tiempo

  • Creación del microscopio compuesto

    Creación del microscopio compuesto

    1590-1600 A. Hans Lippershey, Zacharias Janssen padre e hijo son considerados como los inventores del microscopio compuesto, el cual constaba de la integración de dos lentes de aumento colocadas en los diferentes extremos de un tubo.
    Con el perfeccionamiento de este aparato y de sus elementos o materiales se permitiría la observación de las células en años posteriores.
  • Adaptación del microscopio por G. G

    Adaptación del microscopio por G. G

    Galileo Galilei describe la cutícula de los insectos, gracias a la adaptación de los lentes del telescopio.
  • El inicio de la célula 'Robert Hooke'

    El inicio de la célula 'Robert Hooke'

    Observó con un microscopio un delgado corte de corcho. Notando que el material era poroso y que el mismo conformaba cavidades poco profundas entre sí, decidiendo llamarlas células además de formar una cierta de similitud con un panal de abejas.
    Tiempo más tarde Hooke fue el primero en estudiar las células vivas a través del microscopio
  • Period: to

    El padre de la microbiología

    A. van Leeuwenhoek Puede ser considerado como el padre de la microbiología puesto que fue el primero en publicar observaciones de bacterias y protistas; logró observar gotas de agua, sangre, esperma y glóbulos rojos.
    Llegó a pensar que todos los animales estaban formados por glóbulos, pero no alcanzó a asociarlos con las celdas de las plantas.
  • Period: to

    Primeros postuladores de la teoría celular

    Aunque la teoría celular se le atribuye a Schleiden y Schwann la verdad es que hubieron cuatro científicos que llegaron a esa misma conclusión en distintos años, los cuales son: Oken (1805), R. J. H. Dutrochet (1824), J. E. Purkinje (1834) y Valentín (1834), donde destaca R. J. H. Dutrochet
  • Period: to

    Siglo XIX

    Comienza la investigación de la teoría celular en Francia con H. Milne-Edwards y F. V. Raspail quienes observaron una gran cantidad de tejidos de animales diferentes y publicaron que los tejidos estaban formados por unidades globulares, pero con desigual distribución.
  • Period: to

    François - Vincent Raspail

    Propuso que cada célula era como un laboratorio, en el cual se encuentran organizados los tejidos y los organismos.
    Él dijo, y no R. Virchow, "Omnis cellula e cellula", toda célula proviene de otra célula.
  • Descripción del núcleo y familiaridad con el mismo

    Descripción del núcleo y familiaridad con el mismo

    R. Brown describe el núcleo. siendo esto algo controvertido puesto que en una carta de A. van Leeuwenhoek a R. Hook en 1682 se describe una estructura en el interior de los glóbulos rojos de la sangre de un pez que no podría ser otra cosa más que un núcleo, aunque no se le llamó de ninguna manera. Además, en 1802, el checo F. Bauer describió una estructura celular que no podía ser otra cosa sino un núcleo.
  • La célula vegetal y su división

    La célula vegetal y su división

    B. Dumortier describe la división binaria en células de las plantas. Detalla la aparición de la pared entre las nuevas células y propone que ese es el mecanismo de proliferación de las células.
  • Introducción de la célula vegetal

    Introducción de la célula vegetal

    J. E. Purkinje, en Chequia, siendo uno de los mejores histólogos de su época, propuso las ideas básicas de la teoría celular alegando que no sólo los tejidos animales estaban compuestos por células, sino también que los tejidos animales eran básicamente análogos a los tejidos vegetales.
  • Mathias Jakob Schleiden

    Mathias Jakob Schleiden

    Después del perfeccionamiento del microscopio, este biólogo Alemán afirmo que todos los organismos vivos estaban compuestos por células.
  • Teoria celular Vegetal

    Teoria celular Vegetal

    El botánico alemán M. J. Schleiden, formaliza el primer axioma de la teoría celular para las plantas, decidió no estudiar tejidos animales y sentarse en las plantas . Descubriendo que todas las plantas están formadas por células.
  • Theodor Schwann y Mathias Jakob Schleiden

    Theodor Schwann y Mathias Jakob Schleiden

    Siendo los primeros en lanzar la teoría celular la cual describe el rol de las células en la historia evolutiva en la vida del planeta; explicando las principales características de los seres vivos.
  • Extensión de los seres vivos

    Extensión de los seres vivos

    El filosofo alemán T. Schwann, publica el libro 'Mikroskopische Untersuchungen', en el que por primera vez expresa en forma clara la idea de que la célula es la unidad fundamental de las plantas y animales.
    Pero fue más allá diciendo que tanto células animales como vegetales estaban gobernadas por los mismos principios.
  • Unificación de las ramas de la biología

    Unificación de las ramas de la biología

    F. J. F. Meyen, F. Dujardin y M. Barry de 1839 a 1843 lograron conectar y unificar las diferentes ramas de la biología al mostrar que los protozoos eran células individuales nucleadas similares a aquellas que formaban parte de los animales y de las plantas, y además propusieron que los linajes celulares continuos son la base de la vida.
  • J. E. Purkinje y H. van Mohl

    J. E. Purkinje y H. van Mohl

    De manera independiente estudiaron las células de las plantas y terminan ejecutando el contenido de su interior al colocarles sus respectivos nombres excluyendo al núcleo y protoplasma.
    La membrana se atribuía a las paredes celulares de las plantas por error ya que los animales no la poseían pero cuando se estudio con mas detalle las células sin pared se llegó a la conclusión de que la entidad viva de la célula era el protoplasma.
  • Period: to

    N. Pringsheim

    Dijo que el protoplasma era la base material de la vida en las plantas.
  • Consolidación de la teoría celular

    Consolidación de la teoría celular

    R. Virchow propuso a la célula como la forma más simple de manifestación viva y que a pesar de ello representa completamente la idea de vida, es la unidad orgánica, la unidad viviente indivisible. A mediados del XIX esta teoría quedó consolidada.
  • Virchow

    Virchow

    Lanzo un tercer postulado el cual consistía en que todas las células provienen de células preexistentes.
  • Uso de colorantes para la identificación de organismos

    Uso de colorantes para la identificación de organismos

    El uso de colorantes para estudiar los organismos vivos supuso un avance sin precedentes en la identificación de manera diferencial de estructuras microscópicas en los tejidos y en las propias células.
  • Se introduce el concepto de la Mitosis

    Se introduce el concepto de la Mitosis

    W. Flemming logra describir la separación de cromosomas e introduce el término de mitosis en el cual se producen dos núcleos idénticos en preparación para la división celular. En general, esta va seguida inmediatamente del reparto equitativo del núcleo celular así como del resto del contenido celular en dos células hijas.
  • Finales del siglo XIX

    Finales del siglo XIX

    Se aceptó que las células son la base fundamental para comprender la presencia de enfermedades, descubriendo que cuando las personas presentan algunos síntomas de padecimiento se debe principalmente al deterioro que presentan sus células, ya que pueden estar enfermas o están siendo afectadas por algún virus.
  • Period: to

    Charles Ernest Overton

    Propone una naturaleza lipídica para la interfaz entre el protoplasma y el medio externo, y sugirió la existencia de una fina capa de lípidos rodeando al protoplasma.
  • División de la investigación celular

    División de la investigación celular

    • Los biólogos celulares procedieron a descubrir la anatomía de la célula y con la llegada del microscopio electrónico lograron llegar hasta su estructura molecular.
    • Los bioquímicos se dirigieron hacia el camino que llevaba la misma célula en las reacciones bioquímicas que sustentan los procesos de vida; incluyendo los materiales por los que está conformada la misma.
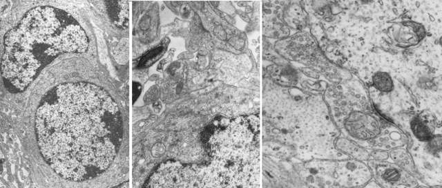
  • Llegada del microscopio electrónico

    Llegada del microscopio electrónico

    Con la implementación de este artefacto se logró estudiar la estructura interna de la célula, la cual se encuentra en nanómetros y puede ser difícil de identificar sin la ayuda de dicho artefacto. Un hecho que quedó resuelto con el microscopio electrónico es la existencia de la membrana plasmática rodeando a la célula
  • La célula a nivel ultra estructural

    La célula a nivel ultra estructural

    El microscopio electrónico de transmisión es el que hace posible estudiar y conocer la estructura más fina de las células o ultraestructura.

    Este nivel de estructura, a su vez, está determinado por la disposición molecular de sus componentes.